
健康な身体はキレイな歯並びから
キレイな歯並びはむし歯や歯周病になりにくく、 口呼吸や片側噛みなどの悪習癖を正すことにより、 バランスの整ったきれいな顔つきになり、 姿勢をよくし、集中力がでて、 疲れにくい丈夫なからだになります。 |
◆歯並びの問題
近年、歯並びの問題をかかえている人達が増えてきています。
学校の歯科健診でも歯並びの項目で要歯科受診の指摘をされる子供さんも
おられるでしょう。
これは普段の食生活等、子供をとりまく生活習慣や生活様式の変化(悪化)の影響が大きいのではないかと考えられます。
歯並びは、歯の周り(舌、口唇、頬など)から歯にかかる力(圧力)の影響でバランスを保っています。
ですから、歯並びに悪影響をあたえるような悪習癖(口呼吸、舌癖、うつぶせ寝、頬杖、片側噛みetc)があると歯並びが乱れてきます。
成長発育中の子供さんにそのような悪習癖があると、あごの大きくなろうとする力が弱められたり、片寄った側にのみ成長し、歯並びの異常や顔のゆがみにつながってしまいます。
しかし、子供の時期から悪習癖を改善したり、正しい方向への矯正力を加えることにより本来の正常な歯並びに導くことができます。
◆歯並びが悪いとどうなる?
歯並びの乱れがあるとどんな問題がおこるでしょうか?
| @食べかすがたまりやすい | E口もとの美しさを欠く |
| A歯ブラシによるそうじがしにくい | Fあごや顔が歪んでくる |
| Bむし歯や歯周病になりやすい | G姿勢が悪くなる |
| C食べ物がしっかり噛みこなせない | H集中力が欠ける |
| D明瞭な発音がしにくい | I疲れやすくなる |
などの色々な不具合が生じやすくなります。
◆予防矯正という考え方
歯並びがきれいにそろうためには、歯が重なりあわずに並びきるだけのあごの骨の大きさが必要です。
しかし、永久歯がはえそろう中学生や高校生の頃になるとあごの骨の成長もそれ以上には期待しづらく、この頃から矯正治療を始めようとすると、歯の並ぶスペースを作るために小臼歯の抜歯を行わないといけないことが多くなります。
しかし、本来並ぶべき健康な歯を抜くことはマイナス面も多くなるべく避けたい方法です。
それを避けるためには、まだ乳歯の残っている小学生の頃から口呼吸や片側噛みなどの悪習癖を改善し、適切な方向へあごを拡げてあげられれば、永久歯列になったとき親不知歯以外の永久歯を一本も抜くことなくきれいな歯並びへと導くことができるのです。
これが”予防矯正”という考え方です。一般的には”非抜歯矯正”ともいわれています。
◆MFT(筋機能訓練療法)とは
歯並びをきれいにするには、歯の周りにある筋肉(舌、口唇、頬)がバランスよくはたらくことがとても大切です。
MFTは歯の周りにある筋肉が、歯に正しい力を加えるようにするための訓練です。
また、この訓練をすることにより歯並びがよくなるだけでなく、免疫力(病気に対する抵抗力)や集中力のアップが期待できます。
MFTは、診療所での月に1回程度のレッスン&チェックと、お家での毎日のエクササイズを約6カ月かけて行っていきます。
◆どんな装置を使用するのか?
![]() |
![]() |
![]() |
T4K |
3DLアーチ |
拡大床 |
乳歯が残っているうちは、これらの装置であごの大きさを拡げていきます。
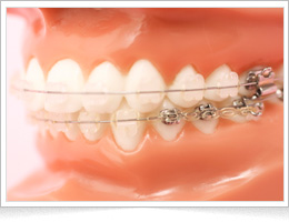
![]() |
![]() |
マルチブラケット
(Invu+TipEddge) |
アクアシステム |
永久歯列になったらブラケット装置等で仕上げします。
早い段階から治療を開始すると装置を使用する期間は長くなります。
それはそれで大変なことですが、でも歯並びがきれいになっていくよろこびもあります。
目標に向けていっしょにがんばりましょう!
◆歯並びに関して気になることがあればなんでもご相談ください。
・この歯並びは治したほうがいいの?
・このまま放置しておいたらどんな歯並びになるの?
・いつ頃からはじめればいいの?
・どんな装置をつかうの?
・治療費はどのくらいかかるの?
このような疑問があればお気軽にお問い合わせください。





